Cardiac
GI
Bone
GU
Neuro
Peds
Faculty
Student
Quizzes
Image DDX
Museum
Mobile
  Misc
Videocasts
Signs
Twitter

 

 


Learning
Radiology:
Recognizing
the Basics

Available
on the Kindle
and IPad


LearningRadiology Imaging Signs
on Twitter


 

Follow us on

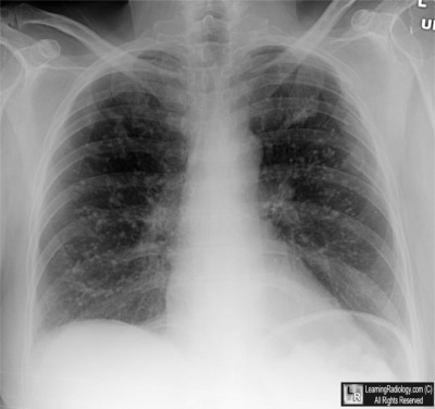
Case of the Week 556


What is the most likely diagnosis?

  • 38 year-old with recent history of rash and cough



Frontal radiograph of chest

  1. Miliary Tuberculosis
  2. Varicella Pneumonia
  3. Metastatc Bladder Cancer
  4. Nocardiosis
  5. Lymphoma

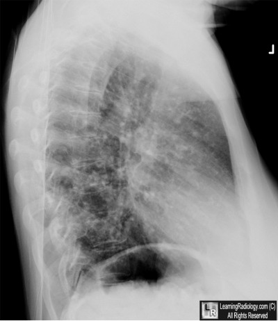
Additional Images - Lateral radiograph of chest

 

Additional Images

 


Lateral radiograph of chest


Answer:

 

2. Varicella Pneumonia

 

More (Click Discussion Tab)

 

 

Varicella Pneumonia

General Considerations

  • Caused by Varicella-zoster virus (VZV)
  • Spread via the respiratory route or direct contact with skin lesions, the VZV is highly contagious
  • Primary infection produces chickenpox; reactivation results in zoster (shingles)
  • Varicella pneumonia complicates about 2-10% of cases of VZV infection in adults
  • It rarely occurs in those under age 19

MORE . . .

 


.

This Week

38 year-old with recent history of rash and cought
 
 
Some of the fundamentals of interpreting chest images
 
The top diagnostic imaging diagnoses that all medical students should recognize according to the Alliance of Medical Student Educators in Radiology
 
Recognizing normal and  key abnormal intestinal gas patterns, free air and abdominal calcifications
 
Recognizing the parameters that define a good chest x-ray; avoiding common pitfalls
 
How to recognize the most common arthritides




LearningRadiology
Named Magazine's
"25 Most Influential"



See Article on LearningRadiology
in August, 2010
RSNA News


LearningRadiology.com
is an award-winning educational website aimed primarily at medical students and radiology residents-in-training, containing  lectures, handouts, images, Cases of the Week, archives of cases, quizzes, flashcards of differential diagnoses and “most commons” lists, primarily in the areas of chest, GI, GU cardiac, bone and neuroradiology.